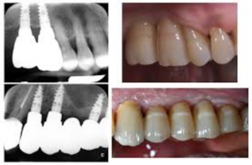
Are medical devices surgically implanted into the jaw to restore a person’s ability to chew or their appearance. They provide support for artificial (fake) teeth, such as crowns, bridges, or dentures.
Background
When a tooth is lost due to injury or disease, a person can experience complications such as rapid bone loss, defective speech, or changes to chewing patterns that result in discomfort.
Replacing a lost tooth with a dental implant can significantly improve the patient’s quality of life and health.
The dental implant body is surgically inserted in the jawbone in place of the tooth’s.

Benefits of Dental Implant Systems:
- Restores the ability to chew
- Restores cosmetic appearance
- Helps keep the jawbone from shrinking due to bone loss
- Preserves the health of the surrounding bone and gums
- Helps keep adjacent (nearby) teeth stable Improves quality of life
Implants have several advantages over dentures, which are removable artificial teeth:-
- are more natural and comfortable
- have a higher success rate
- improve chewing function
- lead to a lower risk of cavities developing in nearby teeth
- lead to better maintenance of bone at the site of the lost tooth
- cause decreased sensitivity in nearby teeth do not need to be taken out and cleaned every night.

Recommendations for Patients
Before choosing dental implants, talk to your dental provider about the potential benefits and risks, and whether you are a candidate for the procedure.
Things to consider:
- Your overall health is an important factor in determining whether you are a good candidate for dental implants, how long it will take to heal, and how long the implant may stay in place.
- Ask your dental provider what brand and model of dental implant system is being used and keep this information for your
- Smoking may affect the healing process and decrease the long-term success of the implant.
After the dental implant procedure:
- Carefully follow the oral hygiene instructions given to you by your dental Regularly cleaning the implant and surrounding teeth is very important for long-term success of the implant.
- Schedule regular visits with your dental
If your implant feels loose or painful, tell your dental provider right away.
Safety
According to the American Academy of Implant Dentistry, around 3 million people in the United States have dental implants, and this number increases by about 500,000 every year. Dental implant surgery is safe when a qualified and experienced surgeon or dentist performs it. It is also the only dental restoration option that maintains the health of the person’s jawbone and stimulates its growth.


An implant-supported denture is an oral appliance that replaces several teeth at once.

It’s similar to a traditional denture. But instead of resting on top of your gums, an implant-supported denture attaches directly to your jawbone using dental implants.
Removable implant-supported dentures
This type of denture “snaps on” to dental implants in your jawbone. It stays securely in place until you’re ready to remove it. With this option, you can take your dentures out every day for easy cleaning.
Fixed implant-supported dentures
A fixed denture — sometimes called a hybrid denture — attaches permanently to dental implants in your jawbone. You can’t remove it at home, but your dentist can remove it for maintenance when necessary.
